
Mon usure dentaire est-elle traitable ?
Consultez votre chirurgien-dentiste pour en savoir plus.
Il existe plusieurs types d’usure dentaire: abrasion, attrition, érosion et abfraction.
Les stades d’usure dentaire sont généralement classés en plusieurs catégories,
allant de l’usure initiale à des stades plus avancés.
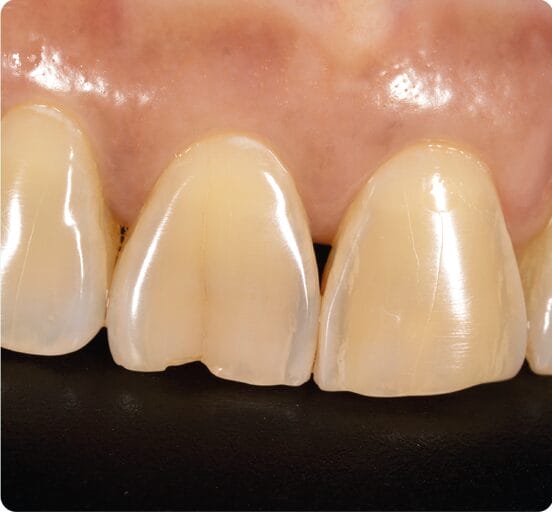
Stade initial
Au stade initial, l’usure dentaire peut être minime et souvent difficile à détecter à l’oeil nu.
Elle peut résulter de facteurs tels que le brossage dentaire excessif, l’utilisation de dentifrices abrasifs ou une légère abrasion due à une mauvaise alimentation.
Stade initial
Elle peut résulter de facteurs tels que le brossage dentaire excessif, l’utilisation de dentifrices abrasifs ou une légère abrasion due à une mauvaise alimentation.
Stade modéré
Elle peut être causée par des habitudes alimentaires, des boissons acides ou une mauvaise hygiène buccodentaire. Des fissures ou des légers aplatissements peuvent apparaître sur les surfaces dentaires.
Stade modéré
Elle peut être causée par des habitudes alimentaires, des boissons acides ou une mauvaise hygiène buccodentaire. Des fissures ou des légers aplatissements peuvent apparaître sur les surfaces dentaires.
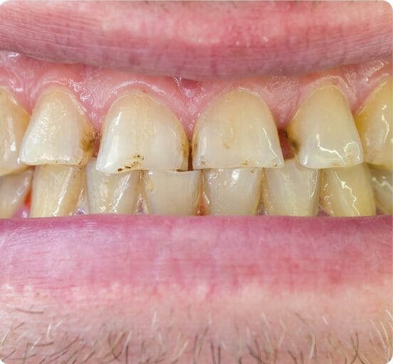
Stade avancé
Les dents peuvent sembler raccourcies ou plates, et les bords peuvent devenir irréguliers. Les sensibilités dentaires peuvent également être plus fréquentes à ce stade.
Stade avancé
Les dents peuvent sembler raccourcies ou plates, et les bords peuvent devenir irréguliers. Les sensibilités dentaires peuvent également être plus fréquentes à ce stade.
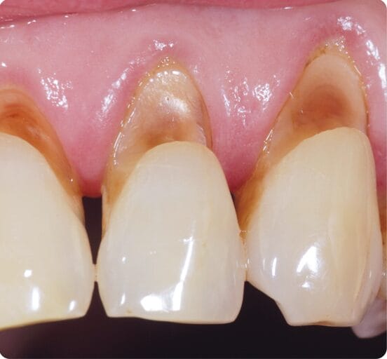
Stade sévère
À ce stade, l’usure dentaire est importante, agressive et peut entraîner une exposition de la dentine dans plusieurs zones.
Les dents peuvent être gravement affaiblies, ce qui peut compromettre leur fonctionnalité et leur esthétique. Des problèmes tels que des fractures dentaires, des caries profondes et des douleurs peuvent survenir.
Stade sévère
À ce stade, l’usure dentaire est importante, agressive et peut entraîner une exposition de la dentine dans plusieurs zones.
Les dents peuvent être gravement affaiblies, ce qui peut compromettre leur fonctionnalité et leur esthétique. Des problèmes tels que des fractures dentaires, des caries profondes et des douleurs peuvent survenir.
